Outline

  • Lung abscess is defined as collection of pus in the lung parenchyma or there is a cavity lined by pyogenic membrane from where pus is expectorated into bronchus.

Causes

  • Infectious Cause:
    • Staphylococcus aureus
    • Klebsiella
    • Anaerobes
    • Mixed flora
    • Actinomyces – These infections are acquired as a result of dental surgery, tonsillectomy, or other surgeries in the oral cavity
  • Aspiration of fluids from GIT when patient is unconscious following GAs, patient with vocal cord palsies, reflux esophagitis
  • Other Rare Causes:
    • Pulmonary infarction
    • Trauma
    • Carcinoma lung or metastasis
    • Amebic liver abscess

Symptoms & Signs

  • Clinical Features:
    • Localized pain at the site
    • High fever with chills & rigors
    • Pathognomonic Feature: cough with putrid foul-smelling sputum
    • Rapid weight loss
    • Clubbing
  • On Examination:
    • Abscess site is tender
    • Stony dullness on percussion
    • Loss of breath sound at abscess site
    • Bronchial breath sound
    • Increased Vocal Resonance
    • Increased Tactile Vocal Fremitus

Investigation :-

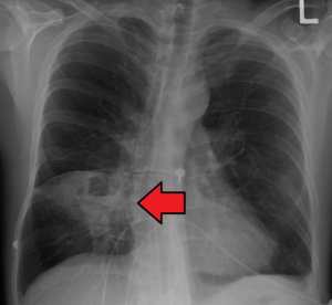
  • X-ray (PA Chest):
    • Lung abscess can be readily observed as a pus-filled cavity with fluid & air level.
    • If the abscess cavity doesn’t contain air, it is difficult to distinguish from a tubercular mass or a tumor mass.
  • Lung Abscess on Chest X ray

  • CT Scan:
    • CT scan is performed when the diagnosis of a lung abscess is doubtful.
  • CT scan Lung Abscess

  • Culture & Sensitivity of Sputum:
    • important to know the type of bacteria involved and antibiotics required

Management :-

  • Improvement of General Health
  • Postural Drainage of Pus
    • The patient should tilt to the opposite side of the lung abscess for drainage.
    • If postural drainage is ineffective, bronchoscopy may be needed for drainage.
  • Specific Antibiotics (Based on Culture & Sensitivity) given for 10-14 days
  • Physiotherapy
    • Physiotherapy, including breathing exercises, is crucial for recovery.

List of important General Medicine questions – https://dentaledge.co.in/general-medicine-important-questions-for-dental-students/